![]() |
Scytinostroma portentosum(Berkeley & M.A. Curtis) Donk (1956) |
![]() |
![]() | ![]() |
Basidiomycota / Agaricomycetes / Russulales / Peniophoraceae
Corticium portentosum Berkeley & M.A. Curtis (1873), Grevillea, 2(13), p. 3 (Basionyme)
Corticium diminuens Berkeley & M.A. Curtis (1873), Grevillea, 2(13), p. 3
Terana portentosa (Berkeley & M.A. Curtis) Kuntze (1891), Revisio generum plantarum, 2, p. 872
Corticium penetrans Cooke & Massee (1891), Grevillea, 19(92), p. 90
Terana diminuens (Berkeley & M.A. Curtis) Kuntze (1891), Revisio generum plantarum, 2, p. 872
Corticium portentosum var. crystallophorum Ellis & Everhart (1897), Bulletin of the Torrey botanical Club, 24(3), p. 125
Corticium grammicum Hennings (1905), Botanische jahrbücher für systematik, pflanzengeschichte und pflanzengeographie, 38(1), p. 106
Stereum portentosum (Berkeley & M.A. Curtis) Höhnel & Litschauer (1907), Sitzungsberichte der kaiserlichen Akademie der Wissenschaften, mathematisch-naturwissenschaftliche klasse, Abt. 1, 116, p. 743
Corticium aluta Bresadola (1908) [1907], in Höhnel & Litschauer, Wiesner-Festschrift, Wien, p. 62
Crystallocystidium portentosum (Berkeley & M.A. Curtis) Rick (1940), Brotéria, série trimestral, ciências naturais, 9, p. 144
Vararia portentosa (Berkeley & M.A. Curtis) G. Cunningham (1953) [1952], Proceedings of the linnean Society of the New South Wales, 77(5-6), p. 290
Scytinostroma portentosum (Berkeley & M.A. Curtis) Donk (1956), Fungus, Officieel orgaan van de nederlandsche mycologische vereniging, 26(1-4), p. 20 (nom actuel)
Coriace,ferme. Odeur nulle.
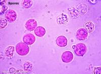
Globuleuses, lisses,avec un apicule net, amyloïdes, 5-5,5-(6) µm de diamètre.
Pas de cystides
Système dimitique: Hyphes génératrices à paroi mince, peu ramifiées,larges de 1,5-2,5 µm, non bouclées. Hyphes squelettiques dextrinoïdes, de même calibre que les génératrices, ramifiées aux extrémités
Sur bois de feuillu indéterminé. Peu fréquent.
Sans intérêt
BK 2 100 ; Jülich ed. Saturnia vol. 2, 195.
Chair de couleur plus claire et plus coriace que Scytinostroma hemidichophyticum.
Odeur nulle sur cette récolte.
Pour vous accompagner lors de vos sorties mycologiques, MycoDB vous recommande les guides suivants :